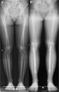
A correção de deformidades ósseas é um dos pilares da ortopedia reconstrutiva moderna e tem como objetivo restabelecer o alinhamento anatômico e funcional dos membros, corrigindo desvios angulares, rotações ou encurtamentos resultantes de condições congênitas, traumáticas ou adquiridas. No CBOT, utilizamos técnicas de osteotomia planejadas digitalmente em 3D, permitindo uma análise precisa da deformidade e uma execução cirúrgica milimétrica. O planejamento tridimensional possibilita prever o resultado final, minimizar erros intraoperatórios e otimizar o posicionamento dos segmentos ósseos.
Entre as principais tecnologias empregadas, destacam-se os fixadores externos hexapodais (como o Taylor Spatial Frame® e sistemas equivalentes), que possibilitam correções multiplanares de forma gradual, segura e controlada. Essas estruturas permitem ajustes pós-operatórios finos, guiados por software, otimizando o resultado funcional e estético.









As indicações clínicas incluem:
Deformidades congênitas (como displasias e sequelas de doenças ósseas);
Deformidades pós-traumáticas ou pós-infecciosas;
Desalinhamentos residuais após cirurgias prévias;
Correções combinadas com alongamento ósseo ou transporte segmentar.
Os principais benefícios dessa abordagem moderna são:
Precisão tridimensional no realinhamento ósseo;
Menor agressão tecidual e recuperação funcional mais rápida;
Melhora da biomecânica e da estética do membro;
Prevenção de sobrecargas articulares e degenerações secundárias.
A ortopedia moderna representa uma nova era no tratamento das deformidades ósseas, unindo planejamento virtual, tecnologia de ponta e experiência cirúrgica para alcançar resultados previsíveis e duradouros.
O Centro Brasileiro de Ortopedia e Traumatologia (CBOT) é referência em tratamentos avançados de reconstrução óssea.
Sob a coordenação do Dr. Marcelo Pigatto D’Amado, membro da Sociedade Brasileira de Ortopedia e Traumatologia e da AO Foundation, o CBOT é pioneiro no uso de hastes intramedulares motorizadas (PRECICE, FITBONE) para alongamento ósseo no Brasil.
Nossa missão é devolver qualidade de vida e confiança a cada paciente, com protocolos baseados em evidências internacionais e uma equipe multidisciplinar dedicada.d
Responsável técnico médico:
Dr. Marcelo Pigatto D`Amado
CRM-SP 186.691
Centro Brasileiro de Ortopedia e Traumatologia Ltda
CNPJ 31.790.418/0001-73